皆さま、こんにちは。
早いものでもう師走となり、街は色とりどりのクリスマスイルミネーションが目を楽しませてくれる季節となりました。
寒さが日ごとに増し、今年はインフルエンザが流行りそうとの声もありますので、体調崩されぬようお気を付けてお過ごしください。
さて、今回はむし歯以外で歯を失う原因についてお話しをさせて頂こうと思います。
「tooth wear」という疾患をご存じでしょうか。
toothは歯、wearはすり減り・薄くなるといった意味で、日本語にすると「歯の損耗」となります。
tooth wearの中には ①くさび状欠損 ②咬耗症 ③摩耗症 ④酸蝕症 が含まれています。それぞれについて解説させて頂きます。
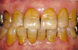
①くさび状欠損
むし歯の次に多い歯の硬組織(エナメル質、象牙質、セメント質)疾患です。
エナメル質および象牙質が欠けてしまった状態で、上の奥歯の歯と歯ぐきの間に見られることが多いです。
原因は強い咬合力、もしくは歯ブラシを強く当てすぎであることがほとんどです。
知覚過敏症を併発している頻度も高いため、知覚過敏かと思ったらくさび状欠損もあった、というケースもよく目にします。
治療は、大きな欠けであればセメントやレジンで埋めますが、小さくて症状が無ければ処置は不要です。
ただ、原因を取り除かなければ悪化する可能性があるので、咬合力が強いのであればナイトガードを作り、歯磨きが原因であれば正しいブラッシング方法のご説明を行います。
②咬耗症
歯と歯、もしくは歯と食べ物の接触により歯のかむ面がすり減る疾患です。
固い食べ物や強い咬合力、粗造な詰め物やクラウン等が原因とされていますが、病的でなくとも年を重ねれば大抵の方がこの状態になっています。
治療は大きくすり減っていればレジンで埋めますが、小さくて症状が無ければ治療は不要です。
また、ナイトガードを装着し、進行の予防を行うこともあります。
③摩耗症
咬耗症と似ていますが、咬合以外の力で歯がすり減る疾患です。
不適切な歯ブラシや、入れ歯の着脱時にばねの部分がこすれるといったことが多くの原因です。
パイプを常用される方や、管楽器を演奏する方にも起こることがあります。
治療は原因の除去が基本となります。
④酸蝕症
酸性の飲食物を多量摂取することで、歯が溶ける疾患です。
炭酸飲料やジュース、ワイン等はエナメル質が溶け始めるpHを超えてしまっているため、常飲すると酸蝕症の原因となります。
ただ、唾液には緩衝能といってpHを一定に保とうとする働きがあるため、これらのものを飲食したからといってすぐに歯が溶けるわけではありません。
ですが、お口の中に残留している時間が長い程、酸蝕症のリスクが高くなります。
そのため、予防として飲食後は可能であれば歯磨き、無理であれば口をゆすぐ習慣を付けて頂くと、リスクを下げることができます。
ここまでtooth wearの4つの疾患を説明させていただきましたが、いかがだったでしょうか。
恐らく、多くの方が大なり小なり当てはまっていたかと思います。
必ずしも治療が必要な病気ではありませんが、気になることがございましたらお気軽にご相談下さい。
歯科医師 田代 憲太朗
(参考文献)
保存修復学21 第六版 永末書店
飲食物で歯が溶ける?!酸蝕から歯を守ろう! クインテッセンス出版株式会社
保存修復学 第7版 医歯薬出版株式会社
2022年12月15日 カテゴリ:未分類















